ブログ|堺市・中百舌鳥で歯科・歯医者をお探しの方はしんかわ歯科クリニックまで

  • 電話
  • メニュー

2026年4月7日

こんにちは!受付の品川です🥳

新年度が始まりましたね! いかがお過ごしでしょうか?

本日の本題に入ります!

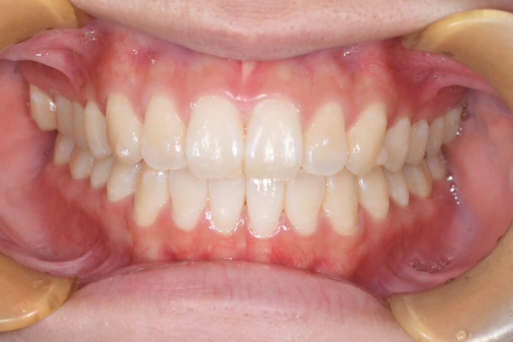
最初にスキャンしたマウスピース分は使い切りました!

まだ動かしたい歯があるので、再度スキャンをし新たにマウスピースを作製しました!

アタッチメントの位置や数が変わりました☺️

ビフォー

アフター

変化がわかりずらいですが,新しいマウスピースを装着するたび痛みが少しありますが

毎日装着をし,チューイを噛んでいると痛みもなくなり,しっかりと

動いているんだなと実感しています!

後もう少しなので,頑張ります🥳

ページトップへ