2025年12月19日
こんにちは!歯科衛生士の田尾です。
前回の矯正日記を更新したときは、残りのマウスピースを使用して終わりになるのか、追加になるのかという状態だったのですが、残っていたマウスピースの使用が終わりなんと矯正終了しました!!!
矯正後は、後戻りと言って歯が矯正前の位置に戻ろうとするので、後戻りがしないように上下どちらも前歯の裏をワイヤーで保定しています。はじめは今までなかった物が舌に当たるので違和感が少しありましたが、数日で慣れて今は何も感じなくなりました。


2025年12月15日
こんにちは!受付の品川です😌
寒くなり、すっかり冬になりましたね!
皆様、いかがお過ごしでしょうか?
矯正を初めて2ヶ月が経ちました!
2ヶ月も経つとマウスピースの違和感はなくなりましたが、新しいマウスピースに交換したばかりの時は、痛みが少しあります😅🥹(感じ方は個人差があります)
前回の写真と比べると、しっかり歯が動いていました😁👍
今回は、正面からの写真です😊
〈10月〉

〈11月〉

少しずつですが、前歯の嚙み合わせが良くなってきて嬉しいです!
来月またどのくらい動いているか楽しみです😌
2025年11月26日
こんにちは!歯科衛生士の平岡です。
10月末に右下の親知らずを抜歯しました。人生で初めての抜歯だったのですごく緊張しました💦
麻酔中も抜歯中も、思っていたよりも痛みはなかったです😌
私の場合、歯が完全に歯ぐきの中に埋まっていたので、切開をして骨を少し削り、歯を抜きました。
縫合が必要だったので抜糸まで口が開きずらく、ご飯を食べるのは少し時間がかかりました😅
抜歯をして2日間は痛みがあったので、痛み止めを服用していました💊
その後は、痛みが落ち着いたのですが、骨を削ったので顔の腫れはかなり続きました🫨
左下ももうすぐ抜歯するので、ドキドキします!
抜歯したら、また感想を投稿します!
2025年11月20日
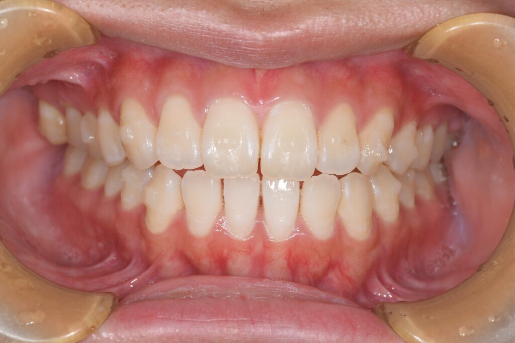
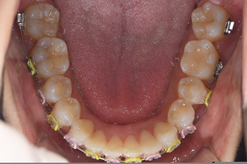
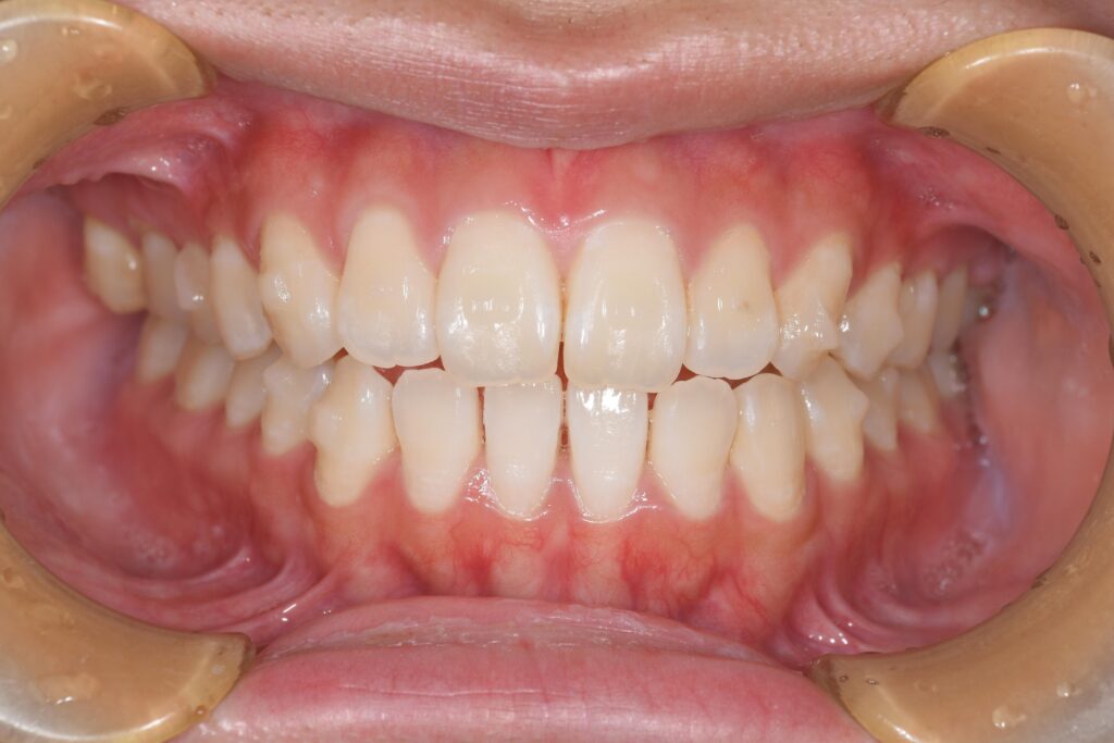
こんにちは!しんかわ歯科クリニックの愛甲です🦷
少し間が空きましたが、矯正の続きをお伝えします。
随分歯が動き、ワイヤーが一番太いものに変わったタイミングで、右上にインプラントを埋入ました!

インプラントと言っても、矯正用のものは小さい仕様です。

埋入のときは、もちろん麻酔をしているので痛みはありませんでしたが,押されている感覚が新鮮でした。
術後、麻酔が切れてしばらくはジンジンとした感覚はありましたが、翌日に気にならなくなりました。
私の場合、本来は抜歯が必要になる可能性があったのですが、インプラント矯正という形で、健全歯を抜かなくていいのは、とても嬉しいメリットだと思いました。
インプラント矯正にご興味のある方は、可能かどうかなどの矯正医の判断が必要なため、ぜひ一度矯正相談をご予約ください🦷


とてもきれいなアーチになり、ワイヤーを変えるたびに起こる痛みを、我慢した甲斐があったなと感じます☺️
咬み合わせの関係でまだ矯正は続くので、今後もまたお伝えしていきます!
2025年11月11日
こんにちは!
しんかわ歯科クリニックの髙山です。
本日は、「根管治療とは?〜後編〜」と題し、前回の続きのお話をさせていただきます♪
前回、日本の保険治療での根管治療成功率が、初回治療で約35%、再治療で約20%、
海外の最先端治療での成功率が、初回治療で約90%、再治療で約80%と、かなり大きな差があるというお話をさせていただきました。
ではその理由は一体何なのでしょうか?
実は、大きな違いが4つあります。
①徹底した「無菌環境」
治療中にもダラダラと流れ出てくる唾液の中には、目には見えない虫歯菌や歯周病菌がたくさん存在しているため、「野晒し」の状態で治療しても、中をきれいにしようとしているのか細菌を入れ込んでいるのか、分からないような状態になってしまいます。

海外では必ず「隔壁」といって、唾液が流れ込んでこないように歯の周りに壁を作ったり、「ラバーダム」というゴム製のシートを使って、唾液の侵入を防ぎます。
ですが日本の歯科治療ではこれらの対策が当たり前になっておらず、ラバーダムの使用率は未だ5〜10%程度とされています。
②可視化することができるか
二次元レントゲンでは1本しか見えない根管が、三次元だと複雑に見えるのが分かります。

また、マイクロスコープという歯科用顕微鏡を使用することで、肉眼では見えない汚れも、はっきりと見ることができます。


この視野で綺麗にしていくことによって、細菌の取り残し率が大きく変わるのです。
ですが、日本でのマイクロスコープ普及率は未だ約10%くらいだと言われています。
③かけられる「時間」
実はマイクロスコープを使用しても、根管の先の細い部分までは見えないことが多いのです。
そういった場合は、中に消毒液を入れ、20〜30分漬け込んで科学的に消毒します。
ですので、少なくとも約1時間の治療が、複数回必要になってきます。
海外では、「歯科医院」といっても「根管治療専門」「インプラント専門」など、それぞれの医院が専門分野ごとに分かれており、1日の来院患者数が少ないため、時間に余裕を持って治療を行うことができます。
ところが、日本の歯科医院はいわば「総合病院」。
専門分野ごとに分かれておらず、さまざまな症状の患者さんが来院されるため、1日の患者数が多く、どうしても一人ひとりの患者さんにかけられる時間が限られてしまいます。

④被せ物の「適合精度」
銀歯とは違い、セラミックの被せ物は寸法変化の少ない高性能な型取り材や光学スキャンなどで精密に型取りをし、時間をかけて技工士さんに作ってもらうことができる分、適合精度(歯と被せ物の隙間をどれだけ無くせるか)が良くなります。
この精度は細菌の侵入を防ぐために、本当に大切な要素の1つです。

上記4つの違いが、根管治療の成功率を分ける大きな要因となっています。
これだけさまざまな方法を駆使しても100%成功する治療ではないので、保険診療の成功率が20〜35%というのも、納得ですよね😞
目に見えないたくさんの細菌の侵入を防ぐことは、本当に難しいことなんです。
ちなみに、、、!
しんかわ歯科クリニックには、ブログ内に出てきた、CT、マイクロスコープ、ラバーダム、光学スキャンなど、海外と同基準の治療ができる設備・環境が整っております😄
(治療や設備環境のこだわりについては、また改めてブログでお話しさせていただきます😄)
また、歯科医師・歯科衛生士・歯科助手・受付スタッフ、全てのスタッフが常に勉強し続け、患者さんの大切な歯を守るため、時間をかけて丁寧に治療することをモットーに診療にあたっております。
ただ一概に「歯科治療」と言っても、「症状」「今の状態」「治療にかけられる時間」「予算」「今のご自身の環境」「モチベーション」などさまざまな要素があり、誰一人として、全く同じ方はいらっしゃいません。
さまざまな観点から患者さん一人ひとりと向き合ってしっかりとお話しをし、治療を進めていくことが大切だと考えておりますので、気になることやご質問等ございましたら、ぜひ何度でもお気軽にご相談ください。
今回のブログはいかがでしたでしょうか?
全2回の「根管治療とは?」のブログを読んでいただいた方の中には、「では、しんかわ歯科クリニックでは実際どんな治療が受けられるの?」という疑問が湧いた方もいらっしゃるかと思います。
そんな方々に、しんかわ歯科クリニックの治療や、設備・環境、そしてそのこだわりポイントを知っていただけるよう、後日「しんかわ歯科クリニックの診療〜こだわりポイント〜」編もUPさせていただきます^^
ぜひ楽しみにしていてくださいね^^
しんかわ歯科クリニック 髙山
2025年10月27日
こんにちは!
しんかわ歯科クリニックの髙山です。
だんだん肌寒くなってまいりましたが、皆様お変わりなくお過ごしでしょうか?
本日は「衛生士ミーティング」の様子をUPさせていただきます!

この日の衛生士ミーティングの時間は、小児患者さんのむし歯予防のために歯の溝を埋める「シーラント処置」のトレーニングを行いました。
先輩スタッフが実践しながら説明を行っています。
途中、後輩スタッフが質問をする場面や、真剣にメモを取る場面が多々あり、すごく有意義な時間となりました!
これからも、「治療に妥協をしないしんかわ歯科クリニック」であり続けるため、勉強会や研修、ミーティングなどを通して、スタッフ一同、成長し続けていければと思います(^^)
髙山
2025年10月23日
こんにちは!受付の品川です🙋
10月になり、過ごしやすい季節になりましたね☺️✨
皆様、いかがお過ごしでしょうか?
本日のお話をさせていただきます😄
私9月12日から矯正を始め1ヶ月が経ちました👏
私の矯正治療方法は、インビザラインGOです。
インビザラインGOとは、前歯から5番目までの上下の歯を透明のマウスピースで動かしていく治療の事です。
私の歯列は,開口で前歯が噛み合っていない為、奥歯の負担が大きので矯正をした方が良いと診断になり矯正を始めました☺️
マウスピースを初めてつけた時は、圧迫感があり違和感がありました。
ですが、1日付けていると圧迫感は少しありますが違和感はなくなりました。
感じ方は、個人差がございます。
これから、少しづつ歯が動いていくのが楽しみです☺️✨
また、変化や感じた事を載せていきます!
上 矯正前 下 マウスピース5枚目




2025年9月22日
お久しぶりです!衛生士の田尾です。
矯正のブログを書くのを忘れてしまい1年が経ってしまっていました、、^^;
矯正を始めて1年8ヶ月ほど経ちました。インビザライン矯正は、マウスピースの合いが悪くなったり、追加で動きを加えたいときなどに再度スキャンを行い、新しいマウスピースを作ります。私は2回マウスピースの作り足しを行い、今使ってるマウスピースは残り3枚で終わりになります。
矯正を始める前は、前歯の隙間や上下の前歯が当たってないことが気になってましたが、徐々に前歯の隙間も閉じてきて上下の前歯が当たるようになってきました。


初めは奥歯から動かしていたので、見た目の変化もなく途中で矯正に対するモチベーショが下がってしまい、マウスピースの使用時間や交換がルーズになってしまった時期もありましたが、徐々に変化が見た目にもわかるようになってきて、今はマウスピースの交換が楽しくなっています(^^)
残りの3枚で上の前歯が動くのでどんな感じになるのか、まだ追加することになるかもしれませんが終わりがとても楽しみです!
次は、矯正が終了したのか、また追加で動かすことになったのか書きたいと思います!!
2025年9月16日
皆さまこんにちは!
しんかわ歯科クリニックの髙山です。
まだまだ暑い日が続いておりますが、皆様お変わりなくお過ごしでしょうか(^^)?
今回は「根管治療」についてお話しいたします♪
しんかわ歯科クリニックが特に力を入れている「根管治療」という治療は一体どんな治療なのか?
皆様に知っていただけるよう、全2回に分けてアップさせていただきます♪
皆様、「根管治療」とはどんな治療かご存知でしょうか?
根管治療とは、むし歯が神経まで達し炎症を起こしたり、細菌感染を起こしたりした「歯の根っこの部分(根管)」の治療のことを言います。
根管治療を行う場合は2パターンあり、
まず1パターン目が、今はまだ歯の中にある神経を抜いて、消毒をしてお薬を詰める「初回治療」。

そして、もう1パターンが、すでに根管治療をしたことがある歯が再感染している場合に、被せ物を外してもう一度消毒を行う「再治療」です。

ここで、「再治療」というワードが出ましたが、「一度治療した歯なのに再治療?ちゃんと治療してもらったはずなのになぜ?」と思われる方が多いのではないでしょうか?
実は、日本の保険治療で行う奥歯の根管治療の成功率は35%程度、再治療の場合は更に下がり20%程度だと言われています。びっくりですよね。
そもそも根管治療とは何を目的に行っているかと言いますと、根管内から細菌が侵入すると細菌はさらに奥深くへと侵入し、根っこの先端(根尖)から周囲の骨に感染を広げます。そうして骨が溶けた状態は根尖性歯周炎と診断されます。根管治療において、細菌を限りなくゼロに近づけることができると、骨内の免疫細胞が、残った細菌をやっつけてくれ骨の再生が起こります。
つまり根管治療とは骨への感染を広げないための予防処置(初回治療)と感染によって溶けてしまった骨の再生(再治療)を目的としています。
では、なぜそんなに治療成功率が低いのか?
これには理由がいくつかあります。
理由①歯の形が複雑だから

これは実際に、人間の抜いた歯の中に墨汁を流し込んだ写真です。
この黒い部分をきれいにしていくのですが、細いところに細菌が定着してしまうと、限られた時間と機材ではしっかりと細菌を取り除くことができないのです。
理由②被せ物の適合精度
保険診療の被せ物は、歯と被せ物の間に隙間ができやすいため、頑張って治療をしたにも関わらず、隙間から根管内に細菌が入ってしまいます。

つまり複雑な根管内の細菌を限りなくゼロに近づけ、適合精度の高い被せ物を装着することができれば治療成功率が上げられるということになります。
しかし日本の保険診療では、時間やコスト、使用できる材料に多くの制限があるために、複雑な根管内をきれいにし、適合精度の高い被せ物を装着することが多くの場合出来ないのです。
海外では保険治療がないため、歯科治療=自費治療になるということから、時間やコスト、使用材料に制限がありません。そこで海外(最先端治療)の治療成功率を例にしてみると、
初回治療成功率90%程度、再治療成功率80%程度となっております。つまりきちんと時間をかけて良質な材料と適切な方法で治療を行えば、高い治療成功率を得ることが可能ということです。

成功率がなぜここまで変わるのか、、、、?
続きは「根管治療とは?〜後編〜」でお話しさせていただきます(^^)
ぜひ後編もご覧ください!
しんかわ歯科クリニック 髙山
2025年8月26日
こんにちは!しんかわ歯科クリニックの髙山です。
本日は、歯ブラシについてお話しいたします♪
皆様、突然ですが、歯ブラシは何を基準に選ばれていますか(^^)?
持ち手の長さ、ヘッドの大きさ、ブラシの硬さ、値段、、、、さまざまな違いがありますが、
自分に合うものがどれなのか、選ぶのが難しいと感じられている方も多いのではないでしょうか?
当院では、歯科医師・衛生士がこだわりを持って選んだ歯ブラシを数種類ご用意し、販売しております。
さらにその中から、衛生士が患者さんそれぞれに合う歯ブラシを直接選ばせていただいておりますので、
「自分に合う歯ブラシ」にご興味のある方は、ぜひ一度スタッフにお声掛けください♪





